立即注册找回密码

QQ登录

只需一步,快速开始

微信登录

微信扫一扫,快速登录

搜索
小桔灯网 门户 资讯中心 专栏文章 动力彩虹 查看内容

纸基的基因检测方法 --灵敏度接近实验室级分子检测水平?!

2022-5-18 16:53| 编辑: 沙糖桔| 查看: 2424| 评论: 0|来源: 小桔灯网 | 作者:动力彩虹

摘要: 特别是,由于其光物理性质和易于化学合成,金纳米颗粒(AuNP)成为开发大量比色生物传感器的绝佳选择。


在过去的20年里,等离子体纳米颗粒因其化学和光学的多功能性、生物相容性、稳定性和高效性,应用于生物传感、生物医学成像、拉曼或发光光谱、药物的控制释放和递送、癌症的光学热疗和许多其他应用,引发了越来越多的兴趣。


特别是,由于其光物理性质和易于化学合成,金纳米颗粒(AuNP)成为开发大量比色生物传感器的绝佳选择。AuNPs胶体悬浮液的光学特性取决于许多参数,即它们的大小、形状、聚集状态和环境。用功能性生物分子(如抗体和酶、适体、其他寡核苷酸或多糖)修饰它们的表面相对简单。相关方法包括被动吸收(即范德华、离子或疏水相互作用)和共价键形成(例如酰胺化和硫化)或其组合。


AUNP的明亮颜色源于局域表面等离子体共振(LSPR)振荡,因此对其附近环境的细微变化表现出敏感性。通过评估它们的积累或光谱偏移,确实可以监测悬浮液或纸质载体上的特定生物分子相互作用。LSPR现象已被用于基于胶体纳米颗粒的ELISA传感器、比色和多色免疫分析以及许多更具创造性的方法。带有免疫偶联AuNP的纸基生物传感器在最近的2019冠状病毒疾病爆发中发挥了非凡的作用,作为快速抗原检测的技术平台。然而,尽管取得了令人难以置信的成功,这些系统也显示出了缺点:它们的分析灵敏度相当于每毫升几百单位的TCID 50,比基于PCR的检测至少差两到三个数量级,而且它们的大规模使用仅限于定性。


近日,来自意大利的研究团队在Scientific reports上发表了一篇题为“Paper‑based genetic assays with bioconjugated gold nanorods and an automated readout pipeline”的文章,在文章中,研究团队描述了一组协同解决方案,其共同目标是更敏感和定量地使用带有生物结合AuNP的纸基生物传感器。首先,研究团队关注的是基因而不是蛋白质靶点。其次,测试了各向异性AuNP的使用,比如金纳米棒(AuNR)。第三,评估了机器学习在自动读出场景中的可行性。为了保持对所有动力学参数的控制,研究团队实施了斑点杂交设置,作为纸基检测的方便模型。


图片

图片来源:Scientific reports


结果和讨论

柠檬酸盐涂层的AuNR

AuNR与杂交探针结合的策略是,首先用柠檬酸盐修饰其表面,然后进行柠檬酸盐AuNP与硫代寡核苷酸的结合。起点是涂有CTAB的常规AuNR。CTAB是一种阳离子表面活性剂,广泛用于提取缓冲液中,以促进从植物组织中的多糖和色素中纯化DNA。因此,为了最大限度地减少颗粒在非靶向寡核苷酸上的非特异性吸附,并确保其生物结合期间的胶体稳定性,将CTAB-AuNR转化为柠檬酸盐AuNR。


通过动态光散射(DLS)分析了柠檬酸金纳米颗粒的电动势和流体动力学尺寸,并与合成的CTAB纳米颗粒进行了比较。AuNR的光谱显示出两个特征峰:一个中心在790nm左右的纵向带,一个中心在516nm左右的横向带。如图a所示,涂有柠檬酸盐或CTAB胶体的消光光谱几乎无法区分。当进行1%琼脂糖凝胶电泳时,3.6 mM金柠檬酸盐AuNR在TBE缓冲液中向阳极迁移了1.5cm(样品2)。另一方面,CTAB AuNRs在TBE缓冲液(样品1)的离子强度下开始絮凝。综上所述,这些数据表明成功地用柠檬酸钠取代了CTAB,同时保持了AuNR的胶体稳定性和光学性质,这些胶体在货架条件下储存几个月后仍然稳定可用。


图片

柠檬酸金纳米颗粒以及CTAB纳米颗粒的比较。

图片来源:Scientific reports


生物结合的AuNRs

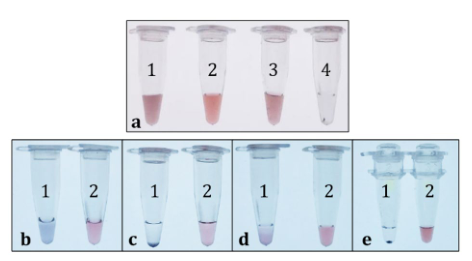
研究团队选择rolC基因作为目标分析物的模型,并测试了两种不同的核苷酸探针用于AuNR的生物接合。第一个探针是一个合成的21-mer正向引物,设计用于在终点PCR中扩增rolC基因,该引物用20个胸腺嘧啶碱基的尾部和其5′端的末端硫醇进行修饰。第二个探针是一个328-mer单链序列,源于专用PCR反应中所述引物的延伸。AuNR的生物结合是通过在NaCl存在下与硫化序列孵育实现的。随着生物结合的进行,AuNR的颜色变得比对照胶体(图a,样品1)更红更亮(图a,样品2)。这种变化归因于当盐的浓度达到1 M 时,盐的折射率从1.333增加到1.344,以及因为高密度在表面结合的寡核苷酸。在328 mer探针的情况下(图a,样品3),出现了一些颗粒聚集,可能是由于克服更强排斥力(1.4 M)所需的较高浓度的NaCl。在没有任何硫化序列的情况下,柠檬酸盐AuNR在投加NaCl时经历了大量且不可逆的絮凝(图a,样品4)。


短序列和长序列寡核苷酸也使柠檬酸盐AuNR在盐水缓冲液中或在高温下稳定(图b-e)。柠檬酸盐AuNR样品在DIG Easy Hyb缓冲液(b)中再悬浮后几分钟内颜色发生明显变化,在室温下24小时(c)后完全絮凝。在没有核苷酸探针(d)的情况下,聚集通常在Dulbecco磷酸盐缓冲盐水(DPBS)中3小时后开始。在标准PCR运行25次热循环后,裸颗粒也表现出不稳定性(e)。相比之下,生物结合的AUNR成功地经受了所有这些质量测试。


图片

生物结合的AuNR更加稳定。

图片来源:Scientific reports


斑点杂交分析

为了建立一种基于不同长度单链DNA序列功能化的柠檬酸盐AuNR的快速比色传感器,进行了斑点杂交分析,并与基于digoxigenin的方法进行了比较,digoxigenin是标记和检测的金标准。


当用AuNR标记时,研究团队观察到杂交的高度特异性。当浓度超过与共轭PCR引物完全互补的序列的10 nM时(图a,A行),明显出现斑点,突变靶点(图a,B行和C行)和阴性对照(图a,D行)均未产生信号。DIG标记的探针能够识别含有1、10和50 ng/μl rolC转基因的pUC19质粒。由于rolC序列约占整个克隆载体的7%,因此最小可检测浓度约为70 pg/μl。研究团队测试了328-mer单链序列结合的AuNR的灵敏度。实验表明,检测限至10纳克/微升,相当于0.7纳克/微升的rolC转基因(图c,A3)。


研究团队的结果表明,使用AuNR标记可以检测微量DNA靶点。尽管使用digoxigenin的敏感性更高,但AuNR提供了更好的速度和易用性。当使用AuNR时,在孵育约10分钟内,可见的颜色已经出现,并在数小时后饱和。此外,AuNR大大简化了分析方案的步骤和成本。在杂交和标准严格洗涤后,digoxigenin的使用需要封闭、抗体和显色过程,从而增加了工作流程的复杂性。另一方面,使用AuNR可以通过肉眼实时监测杂交过程,无需制备缓冲液或特殊溶液。总的来说,基于AUNR的方法比依赖digoxigenin的方法成本低得多,并且可能实现新的应用,例如在动态条件下实时监测杂交过程。


图片

斑点杂交分析。图片来源:Scientific reports


斑点图像分析定量系统

研究团队为自动化斑点分析完成了初步流程。首先,实施了一个专用系统,以标准化从膜的斑点到成像的整个方案,经过优化,结果证明了一种基于有监督机器学习管道的方法的可行性,该方法可以获得斑点的定量读数。同时,对于基于视觉评估的检测,它有可能将其检测限调整大约两倍,比如从0.42 ppm左右调整到0.24 ppm左右。


但由于线性假设可能已经过度简化了物理过程,因此存在一些偏差,更大的数据集将允许更好的预测,并使尝试超参数模型变得合理。另一个改进可能来自对系统硬件和所有标准化成像方法的改进。


图片

自动化斑点分析。  图片来源:Scientific reports


总结

近年来,以免疫结合纳米金为特征的纸质生物传感器作为关键应用案例(包括SARS-CoV-2快速抗原检测)的首选平台,获得了非凡的发展势头。这篇文章中研究团队的目标是可扩增的DNA,而不是蛋白质分析物,用各向异性纳米棒取代金纳米球,这种AuNR本质上更亮约10倍,并且可以多次扩增。通过与digoxigenin点杂交读出的金标准方法进行比较,结果发现AuNR更快、更容易,但检测限更高。此外,研究团队还测试了一个完整的工作流程,用定制的硬件和回归工具获取和处理斑点印迹膜的照片,作为获得更高分析灵敏度和量化潜力的策略。综上所述,新材料和创新数据处理工具的协同组合可能会使纸质生物传感器的分析灵敏度接近实验室级分子测试水平。

声明:
1、凡本网注明“来源:小桔灯网”的所有作品,均为本网合法拥有版权或有权使用的作品,转载需联系授权。
2、凡本网注明“来源:XXX(非小桔灯网)”的作品,均转载自其它媒体,转载目的在于传递更多信息,并不代表本网赞同其观点和对其真实性负责。其版权归原作者所有,如有侵权请联系删除。
3、所有再转载者需自行获得原作者授权并注明来源。

最新评论

关闭

官方推荐 上一条 /3 下一条

客服中心 搜索 洽谈合作
返回顶部