立即注册找回密码

QQ登录

只需一步,快速开始

微信登录

微信扫一扫,快速登录

搜索
小桔灯网 门户 资讯中心 技术杂谈 查看内容

mNGS助力精准病原微生物诊断系列 — 马什么菲?马尔尼菲篮状菌病!

2022-7-1 10:50| 编辑: 沙糖桔| 查看: 3242| 评论: 0|来源: Illumina因美纳

摘要: 本期,我们将为您带来马尔尼菲篮状菌病相关病例。

因美纳的“mNGS助力精准病原微生物诊断病例系列”准时与您见面,本期,我们将为您带来马尔尼菲篮状菌病相关病例。

什么是马尔尼菲篮状菌病? 1-2

  • 马尔尼菲篮状菌病(Talaromycosis Marneffei,TSM) 是一种流行于东南亚以及我国南方地区的侵袭性真菌病

  • 易感人群:以前多见于艾滋病病毒(HIV)感染患者,而随着器官移植、造血干细胞移植、免疫抑制剂、新型靶向治疗药物使用的增多,非HIV感染患者的病例在逐渐增加

  • 临床表现:马尔尼菲篮状菌可以侵犯人体全身多个器官与组织,临床表现复杂多样,容易误诊。根据发病部位和特征,一般分成局限型和播散型。局限型常常发生皮肤及皮下组织的感染,表现为局部皮下结节、皮下服肿或淋巴结肿大;播散型的临床典型症状为突然发病、不规则且长时间高热、体重减轻、贫血和肝脾肿大

  • 病原体:马尔尼菲篮状菌(Talaromyces Marneffei,TM)

诊断方法 2

  • 临床微生物学实验室应用的常规检测方法:真菌培养、涂片检查、组织病理学检查(苏木精-伊红染色(HE) 、过腆酸雪夫染色(PAS) 和六胺银染色)、血清学检查

  • 诊断方法:一般须定量聚合酶链反应(qPCR)技术和/或宏基因组下一代测序(mNGS)技术进行诊断,mNGS不是常规检测方法,直到近些年才更广泛地用于各种疾病的微生物学检测,易被临床忽视

诊断延迟 2

  • 马尔尼菲篮状菌病与其他真菌病的临床症状相似,由于临床对该细菌缺乏了解及诊断方法有限,诊断困难并且误诊率高,如果未及时诊断和治疗,死亡率高达91.3%

案例

非HIV、非免疫抑制和非地方性传染的TSM3

基本信息:患者男性,24岁,华东地区在校大学生

主诉:间歇性腹泻3个月,最近一周出现无法控制的高烧

既往史:既往身体健康,没有任何明确的全身性疾病病史。患者否认有静脉吸毒、同性恋活动或输血史。父母健康。患者有一个兄弟,六岁时死于再生障碍性贫血体格检查。


入院时,生命体征显示体温40℃,血压99/56mmHg,脉搏89次/分,呼吸频率20次/分。体格检查显示是一名非常憔悴的舟状腹患者。肝、脾及浅表淋巴结未触及。


辅助检查

  • 白细胞计数2.9∗109/L↓、血红蛋白115g/dl、钾2.81mmol/L↓、钠128 mmol/L↓、肌酸激酶(CRP) 96.48 mg/L↑、红细胞沉降率(ESR) 43 mm/h↑

  • 肝功能和免疫功能指标也有改变:腺苷酸脱氨酶29U/L↑、血清免疫球蛋白G (IgG)水平下降、总蛋白55.3g/L↓、白蛋白31.7 g/L↓

  • HIV抗体检测阴性,巨细胞病毒(CMV)检测阳性

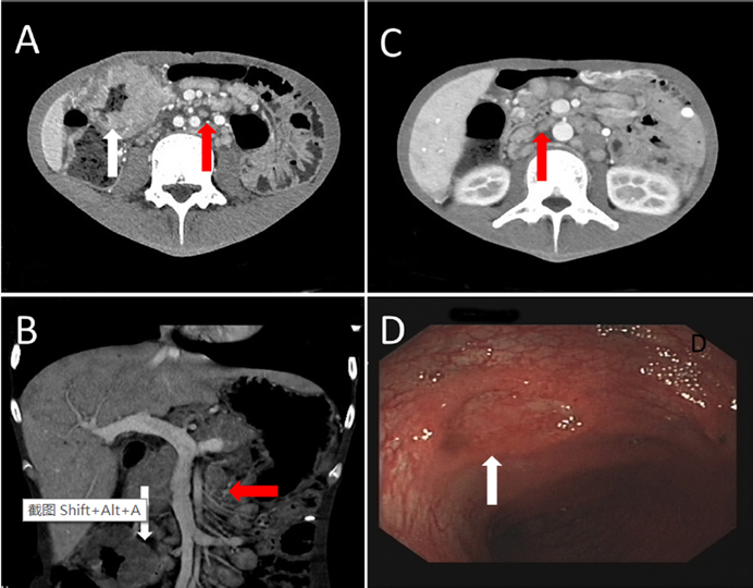
  • 腹部增强CT显示淋巴结明显肿大,肠壁多处增厚,怀疑恶性淋巴瘤(图1.A、B、C)。结肠镜检查显示结肠多处溃疡(图1.D)

  • 肠活检提示结肠黏膜慢性中度炎症伴溃疡;骨髓穿刺提示有明显的粒细胞增生,未显示任何淋巴瘤或其他恶性疾病;活检提示淋巴结基本结构仍存在,淋巴组织增生、凝固性坏死

  • 苏木精-伊红染色(图2.A)和六胺银染色(图2.B)结果放大1000倍呈现出大量酵母样细胞。同时,血培养也提示存在TM感染(图2.C、D)

  • mNGS检测结果明确TM是主要病原体(图3.A、B)

图1:腹部增强CT(A、B、C)显示明显的淋巴结肿大(红色箭头)和肠壁多处增厚(白色箭头)。结肠镜检查显示结肠多处溃疡(D,白色箭头)

图2:苏木精伊红染色(A,放大倍数×1000)和六胺银染色(B ,放大倍数×1000)病理检查显示颈部淋巴结样本中的巨噬细胞中含有大量酵母样细胞(红色箭头)。血培养(25℃,培养4天)提示存在TM感染(C)。将霉菌涂片进行血培养的革兰氏染色,显示红色杆状菌丝(D,放大倍数×1000)

图3:TM的相对丰度最高,为97%,表明它是主要病原体(A)。对分离菌株进行测序,总覆盖率为1.32% (B)

诊断:TSM

治疗:根据现行传染病指南,患者开始静脉注射两性霉素B(0.6 mg/kg/天)和伏立康唑。入院第20天(两性霉素B治疗7天后),患者突然出现烦躁不安,2h后没有意识、视力障碍。生命体征为体温37℃,血压123/71mmHg,脉搏132次/分,呼吸频率29次/分,氧饱和度99%,患者自主呼吸。体检发现患者昏迷,瞳孔扩大(0.3cm)。此外,实验室结果显示血氨、白细胞计数、乳酸脱氢酶(LDH)、天冬氨酸氨基转移酶(AST)、丙氨酸氨基转移酶(ALT)和凝血酶原时间(PT)水平均显著升高。患者继续出现急性肝功能衰竭伴肝性脑病和凝血酶原时间延长,患者1周后死亡。

小 结

马尔尼菲篮状菌病由于没有特异性的临床症状,诊断非常困难并且误诊率高,如果未及时诊断并进行治疗,死亡率极高。本案例中的患者属于非HIV、非免疫抑制和非地方性传染,诊断更为困难,多项实验室检查无果的情况下,mNGS可以明确病因,有助于提高诊断率,或许可以避免再次发生这样令人遗憾的病例。临床上类似的不明病因感染还有很多,我们将在今后的系列中分享更多的病例,欢迎大家关注。


参考文献

  1. Chen D, Chang C, Chen M, et al. Unusual disseminated Talaromyces marneffei infection mimicking lymphoma in a non-immunosuppressed patient in East China: a case report and review of the literature. BMC Infect Dis. 2020 Oct 28;20(1):800.

  2. 肖艳萍,钟桥石,胡龙华.马尔尼菲篮状菌致病机制相关分子研究进展[J].中国人兽共患病学报,2020,36(1):70-74.

  3. 谭鹆昕,高丽,张米,董兴齐.艾滋病合并马尔尼菲篮状菌病的研究进展[J].中国真菌学杂志,2018,13(6):371-375.

.

声明:
1、凡本网注明“来源:小桔灯网”的所有作品,均为本网合法拥有版权或有权使用的作品,转载需联系授权。
2、凡本网注明“来源:XXX(非小桔灯网)”的作品,均转载自其它媒体,转载目的在于传递更多信息,并不代表本网赞同其观点和对其真实性负责。其版权归原作者所有,如有侵权请联系删除。
3、所有再转载者需自行获得原作者授权并注明来源。

最新评论

关闭

官方推荐 上一条 /3 下一条

客服中心 搜索 洽谈合作
返回顶部